Before & After Images Showcasing the Transformative Results of Cosmetic Procedure


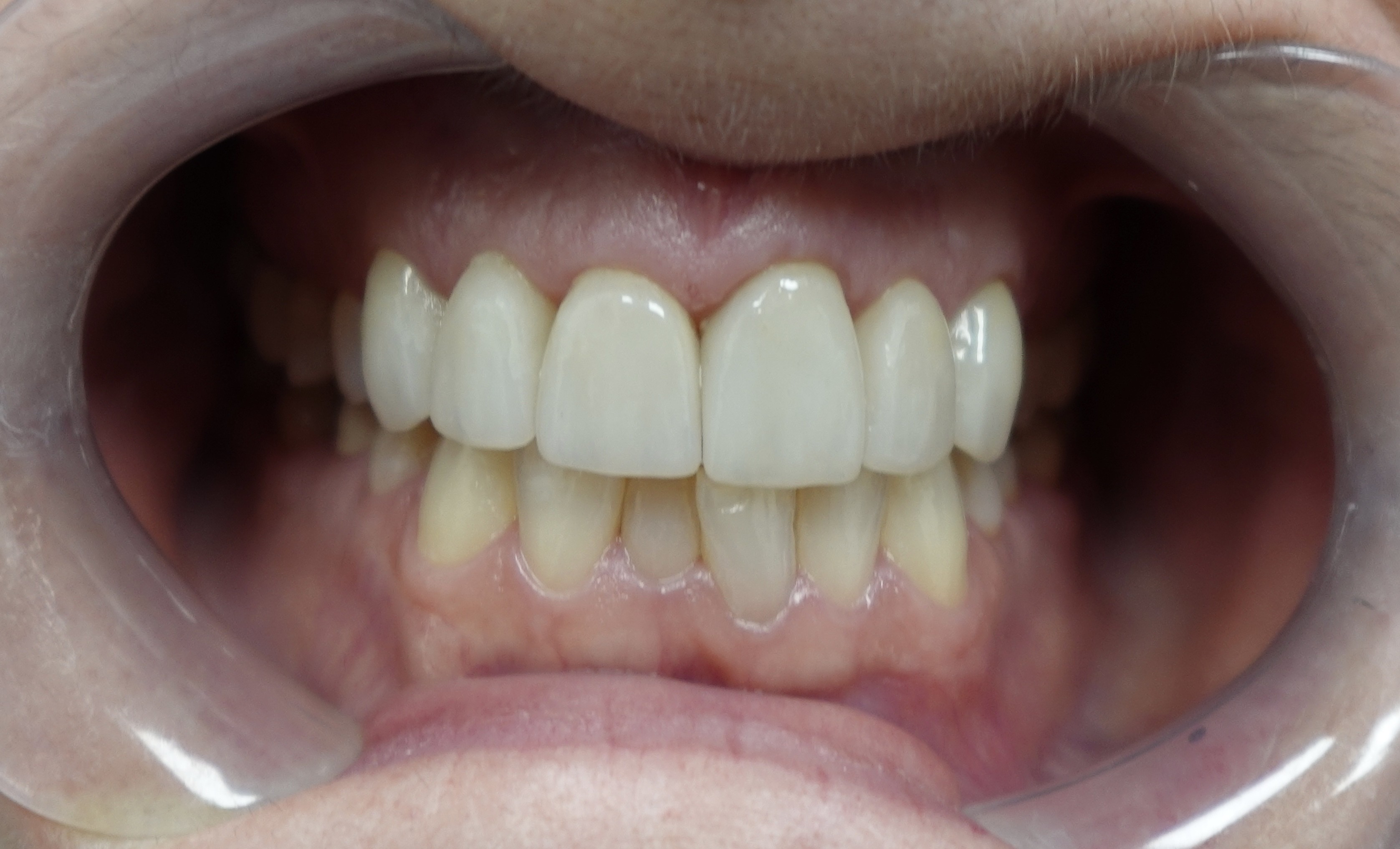
Problem: The patient underwent orthodontics to improve his life, and root canals were performed on his anterior front teeth and full porcelain Zirconia crowns were placed.
Solution: Crowns were used to strengthen cracked and sensitive teeth.
Result: The crowns enhanced his appearance and, in return, the patient gained confidence in his smile.


Problem: The patient underwent orthodontics to improve his life, and root canals were performed on his anterior front teeth and full porcelain Zirconia crowns were placed.
Solution: Crowns were used to strengthen cracked and sensitive teeth.
Result: The crowns enhanced his appearance and, in return, the patient gained confidence in his smile.





